Κλινικά Στοιχεία - Γυναίκα 77 ετών
Ιστορικό
- Στεφανιαία νόσος με ΟΕΜ και PCI LAD προ 15 ετών
- Αρτηριακή υπέρταση, Δυσλιπιδαιμία, Θυρεοειδοπάθεια
Παρουσίαση
ΟΕΜ (Non-ST segment Elevation Myocardial Infarction [NSTEMI])
Επείγουσα διακομιδή από δευτεροβάθμιο νοσοκομείο
Ηχωκαρδιογραφία: ΚΕ 40-45%
Στεφανιογραφία
Σοβαρή νόσος διχασμού στελέχους και τριών αγγείων
Αντιμετώπιση
Αρχικά λήφθηκε απόφαση για καρδιοχειρουργική αντιμετώπιση αλλά κατά τη νοσηλεία η ασθενής εμφάνισε πολλαπλά επεισόδια κολπικής μαρμαρυγής με στηθαγχικό άλγος και συνολικής αποσταθεροποίησης. Κατά συνέπεια αποφασίστηκε η αντιμετώπιση με αγγειοπλαστική στην αριστερή στεφανιαία αρτηρία και μετά από 3 ημέρες αγγειοπλαστική στην δεξιά στεφανιαία αρτηρία
Αγγειοπλαστική αριστερής στεφανιαίας αρτηρίας (LM/LAD/LCx)
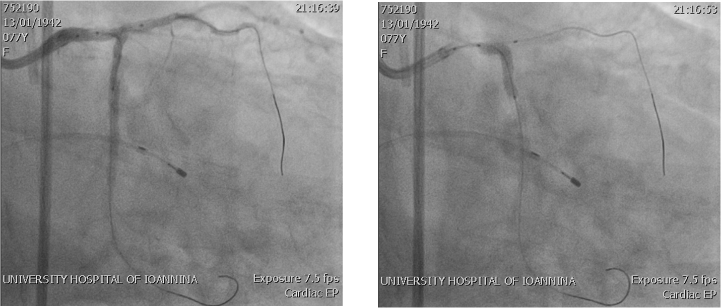
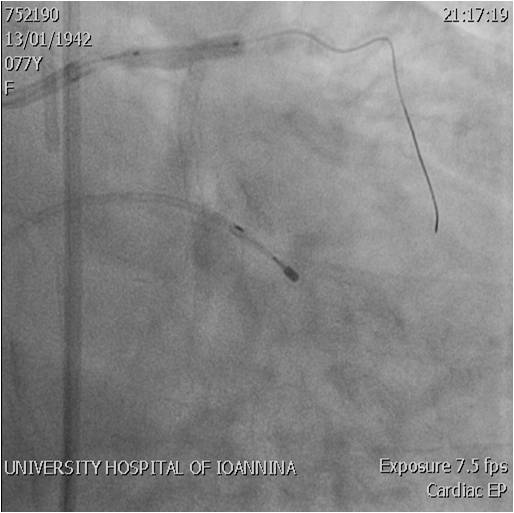
- Αγγειακή πρόσβαση και προετοιμασία στο αιμοδυναμικό εργαστήριο – Τοποθέτηση ενδοαορτικού ασκού (IABP) και προσωρινού βηματοδότη (TPW)

- Αγγειογραφία αριστερής στεφανιαίας αρτηρίας
- Αγγειοπλαστικη – Βήματα: Rotablation & DK-crush PCI
- Rotablation LM-LAD
- Pre-dilations (Kissing)

- Stenting mid LCx
- Stenting LM-LCx

- Stent crush

- 1st Kissing balloon
post-dilation - Stenting LM-LAD
- 2nd Kissing balloon
post-dilation
- Τελικό αποτέλεσμα αγγειοπλαστικής LM/LAD/LCx
Video 3 & Video4
Αγγειοπλαστική δεξιάς στεφανιαίας αρτηρίας (RCA)
- Αγγειογραφία δεξιάς στεφανιαίας αρτηρίας
Video5
- Τελικό αποτέλεσμα αγγειοπλαστικής RCA
Video6




